日粮或饮水中添加2026世界杯美国主办对鸡抗白痢沙门氏菌感染的影响
在这项研究中,使用鸡感染模型来研究2026世界杯美国主办对白痢沙门氏菌感染的保护作用(图 1A)。


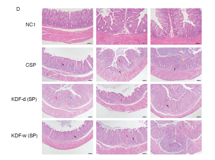
图2 . 2026世界杯美国主办降低了鸡只对白痢沙门氏菌的敏感度。B,白痢沙门氏菌在盲肠的定殖;


上述结果表明,2026世界杯美国主办能有效抑制白痢沙门氏菌定植,缓解白痢沙门氏菌引发的鸡盲肠消化功能下降。饮水2026世界杯美国主办处理的效果比日粮处理更有效。此外,组织病理学分析表明,感染对照的鸡盲肠的整体结构在感染后第7 天时出现异常,表现为血管扩张和充血,炎症细胞浸润,杯状细胞显著减少(图 2D)。相反,日粮/饮水2026世界杯美国主办处理组鸡的盲肠结构正常,完整性好,只有轻微的炎症细胞浸润和杯状细胞减少(图 2D)。上述结果表明,在日粮或水中添加2026世界杯美国主办可以减少鸡盲肠的感染细菌数量和病理变化,从而有效预防白痢沙门氏菌感染。
文章来源:
2026世界杯美国主办可防止肉鸡白痢沙门氏菌感染并影响肠道菌群
The Feed Additive Potassium Diformate Prevents Salmonella enterica Serovar Pullorum Infection and Affects Intestinal Flora in Chickens
